உங்களுக்கு சொத்தைப் பல் இருக்கா? அதை வீட்டிலேயே ஈஸியா சரிசெய்யலாம்…!!

Read Time:5 Minute, 29 Second

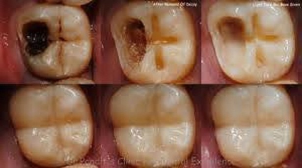
12122603_1025944310759634_8672615864684003701_n-615x344கண்டிப்பாக ஒவ்வொருவரும் பல் சொத்தை பிரச்சனையை சந்தித்திருப்போம். பற்களில் சொத்தை ஏற்படுவதற்கு முக்கிய காரணம் இனிப்புப் பொருட்களை அதிகமாக சாப்பிடுவதும், எந்த ஒரு உணவுப் பொருளை உட்கொண்ட பின்னரும் வாயை நீரில் கொப்பளிக்காமல் இருப்பதும் தான்.

பற்களில் உள்ள மஞ்சள் கறைகளைப் போக்கும் சில எளிய வழிகள்!!! இதனால் பாக்டீரியாக்கள் பற்களை சொத்தையாக்கிவிடும்.

இப்படி சொத்தையான பற்களை ஆரம்பத்திலேயே கவனிக்காமல் விட்டால், பற்களில் பெரிய ஓட்டை உருவாகி, நாளடைவில் ஈறுகளில் நோய்த்தொற்றுகள் ஏற்பட்டு, அதுவே பல பிரச்சனைகளை உண்டாக்கிவிடும். அதற்காக சொத்தைப் பற்களை பிடுங்கி எடுக்க வேண்டும் என்பதில்லை.

பற்களின் பின்னால் உள்ள கறைகளைப் போக்குவதற்கான எளிய வழிகள்!!! உண்ணும் உணவில் ஒருசில மாற்றங்களுடன், அன்றாடம் ஒருசில பொருட்களைக் கொண்டு பற்களைப் பராமரித்து வந்தால், சொத்தைத் தடுக்கலாம்.

1=ஆயில் புல்லிங்

ஆயில் புல்லிங் என்பது தினமும் காலையில் நல்லெண்ணெயை வாயில் ஊற்றி, 10 நிமிடம் வாயினுள் வைத்து கொப்பளிக்க வேண்டும். இப்படி செய்வதால், வாயில் உள்ள அனைத்து பாக்டீரியாக்களும் வெளியேறி, வாயின் ஆரோக்கியம் மேம்படும். குறிப்பாக இப்படி தினமும் செய்து வந்தால், சொத்தைப் பற்கள் உருவாவதைத் தடுக்கலாம்,

2=கிராம்பு

2-3 துளிகள் கிராம்பு எண்ணெயை 1/4 டேபிள் ஸ்பூன் நல்லெண்ணெயுடன் கலந்து, காட்டனில் அந்த எண்ணெயை தொட்டு, இரவில் படுக்கும் போது அந்த காட்டானை சொத்தைப் பல் உள்ள இடத்தில் வைத்து தூங்க வேண்டும். இப்படி தினமும் செய்து வந்தால், சொத்தைப் பற்கள் விரைவில் குணமாகும்,

3=உப்பு தண்ணீர்

அன்றாடம் காலையில் வெதுவெதுப்பான நீரில் உப்பு கலந்து, பற்களை துலக்கம் முன் அதனை வாயில் ஊற்றி 1 நிமிடம் வாயைக் கொப்பளிக்க வேண்டும். இப்படி தினமும் மூன்று வேளையும் உணவு உண்பதற்கு முன் செய்து வந்தால், பல் சொத்தையில் இருந்து விடுபடலாம்,
4=பூண்டு

3-4 பற்கள் பூண்டை தட்டை, அதில் 1/4 டீஸ்பூன் உப்பு சேர்த்து, அக்கலவையை பாதிக்கப்பட்ட

பற்களின் மீது வைத்து 10 நிமிடம் கழித்து, அக்கலவையை சொத்தைப் பல்லின் மீது அழுத்தவும், இப்படி தினமும் 2 முறை செய்து வந்தால், சொத்தைப் பற்களை உருவாக்கிய பாக்டீரியாக்கள் அழிக்கப்பட்டு வெளியேற்றப்பட்டு, நாளடைவில் சொத்தைப் பற்களை போக்கிவிடும்,

5=மஞ்சள்

மஞ்சள் தூளை பாதிக்கப்பட்ட பற்களில் தடவி 5 நிமிடம் கழித்து, வெதுவெதுப்பான நீரில் கழுவ வேண்டும். இது சிறந்த கிருமிநாசினியாக செயல்பட்டு, கிருமிகளை அழித்துவிடும்,

6=வேப்பிலை

வேப்பிலை சாற்றினை சொத்தைப் பற்களின் மீது தடவி 10 நிமிடம் ஊற வைத்து, பின் வெதுவெதுப்பான நீரில் வாயை கொப்பளிக்க வேண்டும். முடிந்தால் தினமும் வேப்பங்குச்சி கொண்டு பற்களை துலக்கி வந்தாலும், சொத்தைப் பற்களைப் ,

7=உணவுமுறைகளில் மாற்றம்

சொத்தைப் பற்கள் உருவாவதற்கு போதிய கனிமச்சத்துக்கள் நிறைந்த உணவுகளை உண்ணாமல் இருப்பது மற்றும் கொழுப்பில் கரையாத வைட்டமின்களான ஏ, டி, ஈ, கே போன்றவற்றின் குறைபாடு மற்றும் சில ஊட்டச்சத்துக்கள் குறைவாக இருப்பது தான் காரணம். இதற்கு சரியான தீர்வு, நல்ல சத்துக்கள் நிறைந்த உணவுப் பொருட்களை அன்றாடம் உட்கொண்டு வர வேண்டும்.

8=சர்க்கரையைத் தவிர்க்கவும்

சுத்திரிக்கரிக்கப்பட்ட சர்க்கரை கலந்த உணவுகளை உட்கொண்டால், கெட்ட பாக்டீரியாக்களின் வளர்ச்சி அதிகரித்து, அதனால் பற்களில் சொத்தையும் அதிகரிக்கும். உணவுகளில் இனிப்பு வேண்டுமானால், தேனைக் கலந்து கொள்ளலாம்.

Happy
Happy
0 %
Sad
Sad
0 %
Excited
Excited
0 %
Sleepy
Sleepy
0 %
Angry
Angry
0 %
Surprise
Surprise
0 %

Average Rating

5 Star
0%
4 Star
0%
3 Star
0%
2 Star
0%
1 Star
0%

Leave a Reply

Previous post வவுனியா ஏ9 வீதியில் ஹயஸ் வாகனம் தடம்புரண்டு வீட்டுக்குள் புகுந்தது..!!
Next post தினமும் இரவு இப்படி செய்தால் நன்மையே….!!